Menjadi dokter dapat dikatakan menjadi cita-cita masa kecilnya, walaupun pada saat itu, dirinya belum bisa menentukan profesi dokter apa yang akan ditekuni. Seiring berjalannya waktu, ia mulai menemukan ketertarikannya pada dunia kesehatan hewan. “Dokter hewan memiliki kelebihan tersendiri, karena tidak hanya mempelajari satu spesies saja. Selain itu, sektor peternakan juga memberikan sumbangsih terhadap asupan protein hewani bagi masyarakat,” ucap...
POULTRYINDONESIA, Denpasar - Kementerian Pertanian melalui Direktorat Jenderal Peternakan dan Kesehatan Hewan (Ditjen PKH) terus mendorong pengembangan pemasaran komoditas perternakan. Salah satu langkah yang dilakukan adalah dengan mengoptimalkan kinerja para petugas Pelayanan Informasi Pasar (PIP) dalam menjaga ketersediaan informasi harga pasar yang aktual, akurat dan kontinu.
"Informasi tersebut menjadi bahan dalam menyusun kebijakan dibidang pemasaran produk peternakan, serta menjadi referensi...
POULTRYINDONESIA, Bogor - Perhimpunan Dokter Hewan Indonesia (PDHI) mengadakan Musyawarah Kerja Nasional (Mukernas) 2020 di Villa Erema, Cisarua, Bogor, Jumat-Sabtu (14-15/2).
Acara yang memiliki tema 'Ayo Ke Dokter Hewan' digelar selama dua hari dan dihadiri oleh perwakilan anggota PDHI dari 47 cabang dan 8 organisasi non teritorial (ONT) seluruh Indonesia.
Ketua Umum Pengurus Besar Perhimpunan Dokter Hewan Indonesia (PB PDHI), drh....
Peristiwa
Sinergi antara Kementan dan Pemda Jatim Akselerasikan Program Prioritas Pertanian
Poultry Indonesia -
POULTRYINDONESIA, Surabaya - Kementerian Pertanian terus bersinergi dengan Pemerintah Provinsi Jawa Timur untuk mengakselerasi dan memastikan capaian kinerja program prioritas Kementan sesuai dengan target pembangunan pertanian nasional 2020-2024.
Hal ini disampaikan oleh Direktur Jenderal Peternakan dan Kesehatan Hewan (Dirjen PKH), I Ketut Diarmita selaku Penanggungjawab Program/Kegiatan Kementan Di Provinsi Jawa Timur dalam sambutan yang dibacakan oleh Direktur Kesehatan Hewan, Fadjar...
POULTRYINDONESIA, Jakarta - Setelah diadakan Rembuk Perunggasan Nasional pada Rabu, 22 Januari 2020 silam, para pelaku di industri perunggasan kembali menggelar Rembuk Perunggasan Nasional yang digelar di Hotel Aston Priority, TB Simatupang, Jakarta Selatan, Rabu (12/02).
Sugeng Wahyudi, perwakilan peternak sekaligus ketua panitia penyelenggara, mengatakan bahwa acara tersebut digelar bukan karna harga ayam hidup di tingkat peternak kembali turun, namun...
POULTRYINDONESIA, Jakarta - Menanggapi permasalahan stunting dan bagaimana sikap yang seharusnya diambil dalam rangka pengentasan stunting, Agrina menyelenggarakan seminar dengan tema “Wujudkan SDM Unggul Indonesia melalui Pengendalian Stunting dengan Pangan Bergizi dan Terjangkau,” yang bertempat di Menara 165, Jakarta Selatan, Rabu (12/2).
Masalah stunting atau gangguan pertumbuhan pada anak yang disebabkan karena kurangnya asupan gizi dari mulai dalam kandungan hingga...
POULTRYINDONESIA, Jakarta - Technical Sales Representative PT SHS Internasional, drh. Dimas Prasetyo, saat diwawancarai Poultry Indonesia, mengatakan bahwa beberapa peternak masih belum menyadari akan disbiosis ini, walaupun tidak terlihat secara nyata, disbiosis ini menjadi suatu gangguan yang dapat menimbulkan kerugian bagi peternak akibat turunnya produksi dan membuka jalan agen patogen lain yang dapat menyebabkan gangguan pada usus, seperti Necrotic Enteritis...
Peristiwa
Deteksi dan Respon Cepat Penyakit Infeksi Baru dengan Aplikasi SIZE 2.0
Poultry Indonesia -
POULTRYINDONESIA, Jakarta - Dengan merebaknya wabah Coronavirus jenis baru (2019-nCoV), Kementerian Pertanian melalui Direktorat Jenderal Peternakan dan Kesehatan Hewan (Ditjen PKH) menyatakan bahwa tindakan dini untuk mendeteksi dan mengendalikan penyakit menggunakan pendekatan One Health sangat diperlukan.
"Belajar dari pengalaman sebelumnya, yakni wabah SARS dan MERS CoV, untuk mengendalikan penyakit infeksi baru (PIB) diperlukan adanya integrasi deteksi dan respons dari berbagai...
Oleh : drh. Esti Dhamayanti*
Sistem pencernaan ayam merupakan suatu sistem yang kompleks nan dinamis, sekaligus berperan penting bagi penyerapan nutrisi untuk tumbuh kembang maupun produksi dari ayam tersebut. Kesehatan usus, atau akrab disebut dengan gut health yang akhir-akhir ini digaungkan oleh industri perunggasan, sebenarnya mencakup fungsi fisiologis, fisik, dan mikrobiologis dalam tubuh untuk menjaga keseimbangan usus.
Disbiosis merupakan penyimpangan jumlah...
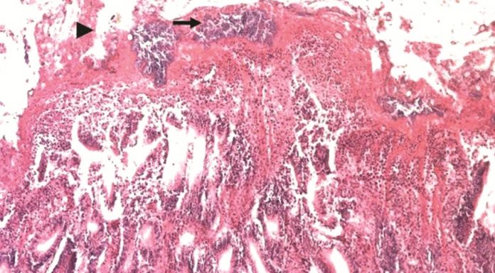
POULTRYINDONESIA, Jakarta - Pada ayam pedaging, penyakit ini dapat ditemukan dalam bentuk akut dan ringan. Bentuk akut ditandai oleh adanya kematian mendadak tanpa didahului oleh gejala klinik tertentu. Sedang, bentuk ringan ditandai oleh adanya ayam yang bergerombol, bulu berdiri, depresi, dan penurunan atau kehilangan nafsu makan. Ayam yang terinfeksi biasanya mengalami diare dan mortalitas yang bervariasi. Penyakit in mengalami...














