Tryptophan dan Fungsinya
Tryptophan merupakan asam amino esensial bagi hewan maupun manusia dan harus diperoleh melalui pakan. Selama proses pencernaan, protein dalam pakan dipecah di usus halus sehingga melepaskan tryptophan yang kemudian diserap melalui epitel usus dan masuk ke dalam aliran darah. Selain berasal secara alami dari bahan baku pakan, tryptophan juga dapat ditambahkan dalam bentuk single tryptophan. Berbeda dengan tryptophan yang berasal dari pemecahan protein, tryptophan single tidak memerlukan proses pencernaan terlebih dahulu sehingga dapat langsung diserap dan dimanfaatkan oleh hewan dengan lebih cepat. Dalam nutrisi unggas dan babi, tryptophan umumnya dianggap sebagai asam amino pembatas ketiga atau keempat setelah methionine dan lysine.
Sebagian besar tryptophan yang beredar dalam darah terikat pada albumin, sementara hanya sekitar 10–20% yang berada dalam bentuk bebas. Fraksi bebas ini bersifat aktif secara biologis dan berperan penting dalam proses sintesis protein. Selain itu, tryptophan juga merupakan prekursor bagi beberapa jalur metabolisme penting. Tryptophan terlibat dalam produksi serotonin dan melatonin, yang berkaitan dengan respon terhadap stres, ketenangan, serta perilaku (behaviour) (O’Mahony et al., 2015). Tryptophan juga dapat dimetabolisme melalui jalur kynurenine, yang berhubungan dengan fungsi imun dan regulasi metabolisme (Agus et al., 2018). Vitamin B6 memiliki peran penting dalam metabolisme tryptophan karena berfungsi sebagai ko-faktor dalam berbagai reaksi enzimatik yang terlibat dalam jalur metabolisme tersebut.
Seiring dengan semakin intensifnya sistem produksi dan meningkatnya paparan hewan terhadap berbagai stresor, pengoptimalan kadar tryptophan dalam pakan dapat menjadi strategi penting untuk mendukung performa dan kesejahteraan hewan.
Serotonin yang berasal dari tryptophan berfungsi sebagai neurotransmitter penting yang terlibat dalam pengaturan emosi, konsumsi pakan, tidur, dan persepsi rasa sakit. Meskipun serotonin sering dikaitkan dengan fungsi otak, lebih dari 90% serotonin dalam tubuh sebenarnya berada di saluran pencernaan, di mana sebagian besar diproduksi oleh sel enterochromaffin (Mawe & Hoffman, 2013). Sintesis serotonin baik di otak maupun di usus bergantung pada enzim tryptophan hydroxylase (TPH). Perubahan dalam ekspresi atau aktivitas enzim ini dapat memengaruhi produksi serotonin dan telah dikaitkan dengan berbagai gangguan psikologis serta gangguan gastrointestinal (Kerckhoffs et al., 2012).
Kesehatan Usus (Gut Health)
Kesehatan usus merujuk pada kondisi fungsional yang optimal pada saluran pencernaan, yang ditandai dengan keseimbangan mikrobioma, proses pencernaan dan penyerapan nutrisi yang efisien, serta sistem kekebalan tubuh yang berfungsi dengan baik. Dalam produksi ternak, menjaga kesehatan usus sangat penting untuk mencapai produktivitas dan performa yang optimal.
Kesehatan usus dipengaruhi oleh beberapa faktor, termasuk pakan, praktik manajemen, tantangan penyakit, serta keseimbangan mikroflora usus. Usus yang sehat mendukung pencernaan dan penyerapan nutrisi yang efisien, yang sangat penting bagi pertumbuhan, efisiensi pakan, serta kesehatan hewan secara keseluruhan.
Tryptophan Melindungi Usus Selama Penyakit Enterik
Penyakit enterik masih menjadi tantangan besar dalam produksi ternak dan sering kali disebabkan oleh interaksi kompleks serta multifaktorial antara virus, bakteri, dan parasit. Kondisi ini dapat menyebabkan kerugian ekonomi yang signifikan akibat penurunan performa pertumbuhan, konversi pakan yang buruk, serta meningkatnya angka kematian. Beberapa penyakit enterik yang umum antara lain necrotic enteritis, coccidiosis, dan viral enteritis, yang sering disertai gejala seperti diare, kerusakan usus, dan dehidrasi.
Penelitian terbaru menunjukkan bahwa suplementasi tryptophan dalam pakan dapat membantu memperbaiki kesehatan usus ketika terjadi infeksi patogen. Fan et al. (2025) mengevaluasi pengaruh suplementasi tryptophan terhadap performa pertumbuhan dan kesehatan usus ayam broiler yang diinfeksi Clostridium perfringens, patogen utama yang berkaitan dengan necrotic enteritis. Suplementasi 0,1% tryptophan secara signifikan meningkatkan average daily gain (ADG) dan konsumsi pakan pada broiler yang terinfeksi, serta menurunkan feed conversion ratio (FCR).
Selain itu, suplementasi tryptophan juga menanggulangi kerusakan morfologi pada jejunum dan membantu menormalkan ekspresi gen yang berkaitan dengan regulasi imun dan integritas barrier usus, termasuk IL-10, IL-22, occludin, dan ZO-1. Penelitian tersebut juga melaporkan peningkatan kadar serotonin serta peningkatan ekspresi gen yang terlibat dalam metabolisme tryptophan dan sinyal imun, seperti TPH1, IDO2, AhR, dan CYP1A1.
Gambar 1. Morfologi usus pada broiler normal dan broiler yang terinfeksi Clostridium perfringens (CP). Sumber: Fan et al., 2025.
Secara keseluruhan, temuan ini menunjukkan bahwa suplementasi tryptophan sebesar 0,1% dalam pakan dapat meningkatkan respon imun, mengurangi kerusakan usus, serta memperbaiki performa pertumbuhan pada broiler yang mengalami infeksi C. perfringens (Fan et al., 2025).
Selain pada unggas, suplementasi tryptophan juga menunjukkan manfaat bagi kesehatan usus pada anak babi (piglet) yang diuji menggunakan lipopolysaccharide (LPS), yaitu komponen dari membran luar bakteri gram-negatif yang dapat memicu respons peradangan yang kuat. Liu et al. (2022) menunjukkan bahwa peningkatan tryptophan dalam pakan membantu memodulasi komposisi mikrobiota usus dengan meningkatkan populasi bakteri yang menguntungkan sekaligus menurunkan jumlah mikroba yang merugikan.
Secara lebih luas, tryptophan dapat berkontribusi terhadap peningkatan kesehatan usus melalui beberapa mekanisme, termasuk modulasi mikrobiota usus, peningkatan produksi short-chain fatty acids (SCFAs), pengurangan respon peradangan, serta penguatan fungsi barrier (penghalang) usus (Liu et al., 2022).
Tryptophan Meningkatkan Keseimbangan Mikrobiota Usus Selama Stres Transportasi
Ternak sering terpapar berbagai sumber stres, termasuk kondisi lingkungan, penanganan, dan transportasi. Stresor ini dapat mengganggu keseimbangan mikrobiota usus, mendorong pertumbuhan bakteri patogen sekaligus menurunkan populasi mikroba yang menguntungkan seperti Lactobacilli dan Bifidobacteria (Meimandipour et al., 2010; Zhang et al., 2016).
Bello et al. (2017) mengevaluasi pengaruh suplementasi tryptophan dalam pakan terhadap respons fisiologis, kesejahteraan hewan, kualitas daging, serta komposisi mikroflora usus pada ayam broiler, khususnya dalam kondisi stres transportasi. Hasil penelitian menunjukkan bahwa peningkatan kadar tryptophan dalam pakan menurunkan konsentrasi heat shock protein 70 (HSP70) dan corticosterone (CORT), serta meningkatkan kadar serotonin (5-HT) dalam serum, yang menunjukkan peningkatan ketahanan terhadap stres dan kesejahteraan hewan secara keseluruhan.
Temuan menarik dari penelitian ini adalah adanya efek menyerupai prebiotik dari suplementasi tryptophan. Analisis mikroba menunjukkan peningkatan signifikan bakteri menguntungkan seperti Bifidobacteria dan Enterococci, serta penurunan bakteri patogen termasuk E. coli, Clostridia, Enterobacteria, dan Campylobacter (Bello et al., 2017). Hasil ini menunjukkan bahwa tryptophan dalam pakan dapat membantu menjaga keseimbangan mikroba usus selama kondisi stres.
Gambar 2. Pengaruh tryptophan dalam pakan terhadap populasi mikroba sekum pada ayam broiler umur 42 hari (sel/g digesta), diadaptasi dari Bello et al., 2017.
Pengaruh Tryptophan dalam Kondisi Stres Pencahayaan
Dalam sistem produksi broiler modern, ayam sering dipelihara dengan program pencahayaan yang diperpanjang atau bahkan kontinu untuk memaksimalkan konsumsi pakan, meningkatkan pertambahan bobot badan, serta mencapai laju pertumbuhan yang lebih cepat (Yang et al., 2015). Namun, paparan cahaya yang terlalu lama juga dikaitkan dengan peningkatan peradangan usus dan stres fisiologis (Yu et al., 2013).
Ma et al. (2024) meneliti potensi efek anti-inflamasi dari suplementasi tryptophan dalam pakan terhadap kerusakan usus yang disebabkan oleh paparan pencahayaan panjang pada ayam broiler. Hasil penelitian menunjukkan bahwa suplementasi tryptophan mengurangi kerusakan inflamasi pada usus dengan cara menghambat aktivasi inflammasome NLRP3, yaitu mediator utama dalam respons peradangan pada usus.
Analisis metabolomik lebih lanjut menunjukkan bahwa suplementasi tryptophan juga mengubah beberapa metabolit mikroba. Secara khusus, kadar indole-3-acetic acid (IAA) dan indole-3-lactic acid (ILA) meningkat, sementara xanthurenic acid (XA) menurun. Perubahan metabolik ini diyakini berkontribusi terhadap efek perlindungan anti-inflamasi yang diamati pada jaringan usus.
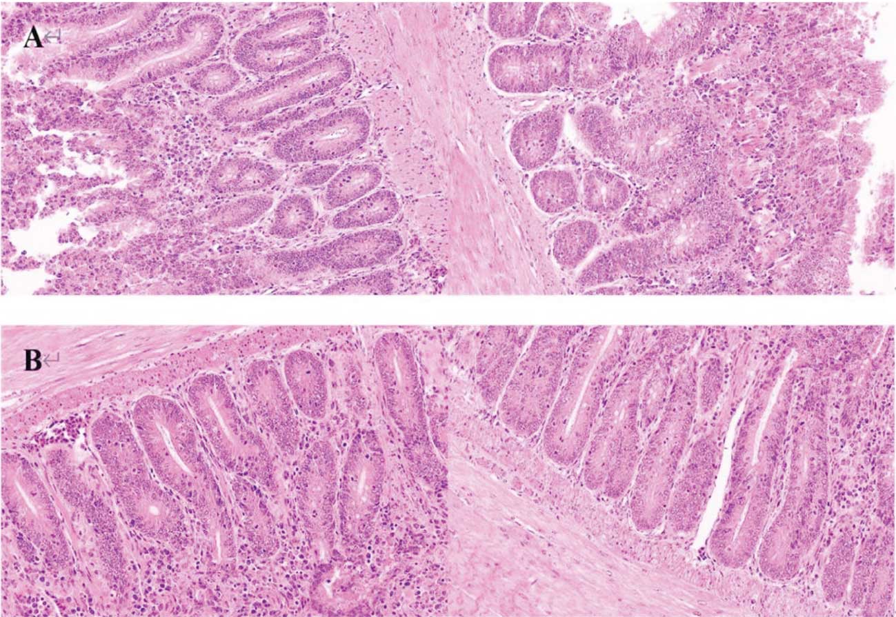
Gambar 3. Histologi duodenum yang menunjukkan jumlah sel inflamasi yang secara signifikan lebih tinggi pada kelompok kontrol (A) dibandingkan dengan kelompok yang diberi perlakuan tryptophan (B).
Sumber: Ma et al. (2024).
Secara keseluruhan, penelitian tersebut menyimpulkan bahwa suplementasi tryptophan dalam pakan dapat membantu melindungi kesehatan usus pada ayam broiler yang terpapar fotoperiode panjang dengan cara menekan aktivasi inflammasome NLRP3. Efek ini tampaknya dimediasi melalui perubahan metabolit turunan tryptophan serta komposisi mikrobiota usus. Dengan demikian, suplementasi tryptophan dapat menjadi strategi nutrisi yang menjanjikan untuk menjaga kesehatan usus dalam sistem produksi intensif yang menggunakan program pencahayaan yang diperpanjang (Ma et al., 2024).